Liver cancer /tumor Ablation
- Home / Liver cancer /tumor Ablation

What Is Liver Cancer Ablation?
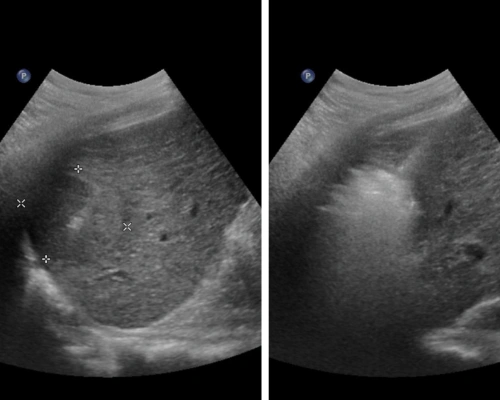
Image-guided liver cancer ablation is a non-surgical treatment used to destroy selected liver tumours using controlled thermal energy, delivered precisely under ultrasound or CT guidance.
Instead of removing part of the liver, ablation targets the tumour directly while preserving surrounding healthy liver tissue.
Common techniques include Radiofrequency Ablation (RFA) and Microwave Ablation (MWA)
Image-Guided Liver cancer /tumor Ablation
Minimally Invasive, Organ-Preserving Treatment
Suitable Candidate for Liver Ablation
- Small, localised liver cancers – less than 5cm
- Early-stage hepatocellular carcinoma (HCC)
- Selected liver metastases
- Patients unfit for surgery or wishing to avoid surgery
Detailed imaging evaluation is essential to confirm suitability.
Advantages of Liver Tumor Ablation
- No major surgery or liver resection
- Preservation of liver function
- Short hospital stay
- Faster recovery
- Option to repeat treatment if required
- Can be combined with TACE, surgery, or systemic therapy
Why Choose Liver Tumor Ablation in Bangalore at Vikash IR Clinic?
Dr. Vikash Chennur is a senior Interventional and Abdominal Radiologist and an AIIMS Gold Medalist, with extensive experience in multidisciplinary liver cancer care at leading international cancer centres.
At Vikash IR Clinic, each patient’s clinical findings and imaging are reviewed in detail to decide on the most appropriate, evidence-based option —focused on achieving the best possible outcomes while preserving liver function and quality of life.
Care is coordinated with hepatologists, oncologists, and transplant teams when required.
Procedure Overview & Recovery
Liver cancer ablation is a minimally invasive, image-guided treatment in which a thin needle is placed into the tumour under ultrasound or CT guidance. Controlled heat (radiofrequency or microwave) is used to destroy cancer cells while preserving surrounding healthy liver tissue, often avoiding surgery.
- Access: tiny skin puncture
- Duration: 30–90 minutes
- Anaesthesia: local, sedation, or general anesthesia (depending on tumour)
- Hospital stay: same day or overnight
Mild pain or soreness may occur temporarily. Most patients return to normal activities within a few days.

Exploring liver cancer treatment ?
Frequently Asked Questions About Liver Tumor Ablation
MRI is recommended when you experience persistent pain, neurological symptoms, or unexplained changes in your body. It helps doctors identify the exact cause and plan accurate treatment with clear internal imaging.
1. Can liver ablation cure cancer?
For selected small tumours, ablation can offer excellent local control and can be curative. In general, the smaller the tumor, the higher the chances of achieving complete ablation.
2. Is liver tumor ablation a surgery?
No. It is a minimally invasive, image-guided procedure without large incisions.
3. Can ablation be repeated?
Yes. Ablation can be repeated if required and does not limit future treatment options.
4. Will ablation affect normal liver tissue?
The goal is to destroy the tumour while preserving healthy liver tissue.
5. Can liver ablation be combined with other treatments?
Liver tumor ablation can be combined with other treatments such as TACE or systemic therapies in selected patients. The treatment approach is tailored based on tumor characteristics and overall liver function to achieve the best possible outcome.
6. Is liver tumor ablation available in Bangalore?
Yes. Image-guided liver tumor ablation is available in Bangalore at Vikash IR Clinic.